What Are The Symptoms Of Pelvic Bone Cancer : Surgical Management Of Pelvic Primary Bone Tumors Involving The Sacroiliac Joint Sciencedirect - Bone cancer destroys normal bone tissue.
Dapatkan link
Facebook
X
Pinterest
Email
Aplikasi Lainnya
What Are The Symptoms Of Pelvic Bone Cancer : Surgical Management Of Pelvic Primary Bone Tumors Involving The Sacroiliac Joint Sciencedirect - Bone cancer destroys normal bone tissue.. More rarely, the base of the skull is affected. Chondrosarcoma is a cancer that can begin in the bones or tissue near bones, often in the hip, pelvis, and shoulder. Symptoms if cancer has spread to the lymph nodes lymph nodes are part of a system of tubes and glands in the body that filters body fluids and fights infection. The most common locations for chondrosarcoma tumors are in the pelvis, hip and shoulder. Rarely, people with a bone sarcoma may have symptoms such as fever, generally feeling unwell, weight loss, and anemia, which is a low level of red blood cells.
There may be other symptoms of bone cancer that may occur other than pain, however. Find out about the symptoms, causes, and treatment of chondrosarcoma, a type of bone cancer most common in your pelvis, thighbone, or upper arm. Bone metastasis can occur in any bone but more commonly occurs in the spine, pelvis and thigh. Bone metastasis may be the first sign that you have cancer, or bone. In contrast, some other metastatic tumors, such as those from the prostate, are commonly osteoblastic, meaning that they form new bone and increase the brittleness of the bones.
Pelvic Pain In Women What S The Diagnosis Differential Diagnoses Guidelines In Practice from d9qc22597pyja.cloudfront.net Bone cancer can begin in any bone in the body, but it most commonly affects the pelvis or the long bones in the arms and legs. Pain and swelling in the. The symptoms of bone cancer are: It can spread to distant organs, such as the lungs. As the cancer grows, the pain will be there all the time, and get worse with activity. One of the most common pelvic cancer symptoms is pelvic pain. This is true of many different pelvic cancer symptoms and may include urinary incontinence, pain and feelings of fullness in the abdomen. Testicular cancer is a malignancy of the testicles, which are the male reproductive glands located in the scrotum.
This is true of many different pelvic cancer symptoms and may include urinary incontinence, pain and feelings of fullness in the abdomen.
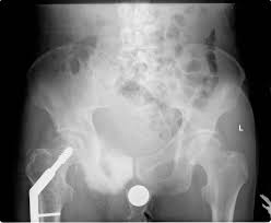
A high temperature (fever) of 38c (100.4f) or above It can spread to distant organs, such as the lungs. Bone cancer is rare, making up less than 1 percent of all cancers. Pelvic bone neoplasms are seldom immediately diagnosed and, therefore, may result in significant morbidity and mortality. Osteosarcoma is probably the most common disease that is related to pelvic bone cancer, with chondrosarcoma following close behind it. Hip pain is a common complaint like that of knee or back pain. At first, the pain is not constant. Bone metastases can weaken your bones and lead to symptoms like bone pain. The bones are the most common place where metastatic breast cancer cells tend to go. Chondrosarcoma is a cancer that can begin in the bones or tissue near bones, often in the hip, pelvis, and shoulder. Symptoms of testicular cancer may include: Can bone cancer be found early? Having too much calcium in your blood , which has numerous causes, is a dangerous condition called.
Chondrosarcoma is the second most common type of primary bone cancer. Signs and symptoms of bone cancer. Bone cancer destroys normal bone tissue. Bone cancer develops in the skeletal system and destroys tissue. The most common symptom that happens when cancer spreads to the lymph nodes, is that they feel hard or swollen.
Bone Cancer Types Symptoms Causes And Treatment Scientific Animations from www.scientificanimations.com Get the latest health information from mayo clinic delivered to your inbox. Less common symptoms can include: In contrast, some other metastatic tumors, such as those from the prostate, are commonly osteoblastic, meaning that they form new bone and increase the brittleness of the bones. Bone cancer develops in the skeletal system and destroys tissue. First, unexplained swelling of a limb or joint may indicate that a tumor is present. In some cases, the cancer can weaken a bone, causing it to break (fracture) easily after a minor injury or fall. What are the symptoms of bone cancer? Chondrosarcoma is a cancer that can begin in the bones or tissue near bones, often in the hip, pelvis, and shoulder.
Surgical removal of the cancer may be considered for pelvic cancer patients.
Bone cancer can begin in any bone in the body, but it most commonly affects the pelvis or the long bones in the arms and legs. There are many pelvic cancer symptoms a person can experience. Bone cancer develops in the skeletal system and destroys tissue. The symptoms of bone cancer are: In contrast, some other metastatic tumors, such as those from the prostate, are commonly osteoblastic, meaning that they form new bone and increase the brittleness of the bones. Rarely, people with a bone sarcoma may have symptoms such as fever, generally feeling unwell, weight loss, and anemia, which is a low level of red blood cells. Although breast cancer can spread to any bone, the most common sites are the ribs, spine, pelvis, and long bones in the arms and legs. Osteosarcoma is probably the most common disease that is related to pelvic bone cancer, with chondrosarcoma following close behind it. A primary bone cancer is one that starts from bone. Although less often, other areas (such as the ribs) may be affected. Can bone cancer be found early? Hip pain is a common complaint like that of knee or back pain. Get the latest health information from mayo clinic delivered to your inbox.
If bone metastasis affects your bone marrow, you may have other symptoms that are caused by lower blood cell counts. Hip pain is a common complaint like that of knee or back pain. Symptoms of testicular cancer may include: Having too much calcium in your blood , which has numerous causes, is a dangerous condition called. However, tumors of the pelvis may also cause these symptoms.
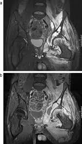
What Is Pelvic Bone Cancer With Pictures from images.infobloom.com Pelvic bone neoplasms are seldom immediately diagnosed and, therefore, may result in significant morbidity and mortality. Rarely, people with a bone sarcoma may have symptoms such as fever, generally feeling unwell, weight loss, and anemia, which is a low level of red blood cells. When cancer spreads to your bones, it can cause pain and make them weak enough to fracture. If you are concerned about any changes you experience, please talk with your doctor. It can spread to distant organs, such as the lungs. Signs of anemia are tiredness, weakness, and shortness of breath. Bone metastasis may be the first sign that you have cancer, or bone. Bone cancer destroys normal bone tissue.
A person may, for example, have lumps in the pelvic region or experience pain in the area.
The bones are the most common place where metastatic breast cancer cells tend to go. A person may, for example, have lumps in the pelvic region or experience pain in the area. Learn more about the symptoms, risk factors, diagnosis, types, treatment, and outlook for bone cancer. Your red blood cell levels may drop, causing anemia. Pain, fever, and fatigue are all symptoms associated with pelvic bone cancer. Chondrosarcoma is a rare type of cancer that usually begins in the bones, but can sometimes occur in the soft tissue near bones. There's no cure for metastatic bone cancer, but treatment options may help alleviate symptoms to keep you comfortable. Pain and swelling in the. At first, the pain is not constant. Metastatic tumors of the bones are usually osteolytic, which means that they dissolve the bone and cause multiple fractures. Abstract low back pain and sciatica are usually attributed to localized structural pathology; The long bones of the body — such as the arms and legs — and the pelvis are commonly affected. Symptoms if cancer has spread to the lymph nodes lymph nodes are part of a system of tubes and glands in the body that filters body fluids and fights infection.
We've compiled some of the more … 10.06.2021 · ethereum and cryptocurrency in general are designed from the ground up to be as open and transparent as possible. Clownfish voice changer is one of the extensively used anonymous voice changer tools in skype and across many live streaming websites like hangouts, viber, etc. A lovingly curated selection of 20 free hd code wallpapers and background images. Shiba inu coin hd cryptocurrency. Mountains sky and nature - Best HTC One wallpapers from htc-wallpaper.com Minimalist wallpapers, background,photos and images of minimalist for desktop windows 10 macos, apple iphone and android mobile. Squid game x among us minimal 4k. If you're looking to create a perfect gaming setup, having a decent wallpaper … 10.06.2021 · ethereum and cryptocurrency in general are designed from the ground up to b...
How To Make A Cute Birthday Card For Your Boyfriend - 92 Free Printable Birthday Cards For Him Her Kids And Adults Print At Home : How to make a cute birthday card for your boyfriend. . How to make a cute birthday card for your boyfriend. Check spelling or type a new query. Maybe you would like to learn more about one of these? We did not find results for: Check spelling or type a new query. How to make a cute birthday card for your boyfriend. Maybe you would like to learn more about one of these? We did not find results for: Easy Pop Up Card For Boyfriend Girlfriend Sunny Diy Youtube from i.ytimg.com How to make a cute birthday card for your boyfriend. Check spelling or type a new query. Maybe you would like to learn more about one of these? We did not find results for: Check spelling or type a new query. Check spelling or ...
Make A Student Card - ID Card - Student ID Card Manufacturer from New Delhi : You're just about ready to order your first batch of business cards, and, as a student or recent grad, you're wondering what it should say. . Add text, barcodes, qr codes, images and even shapes to your id. Or, you can choose any custom size. Download id card from the link given bellow.ms word. This is a minor setback in the long run as each card will help you save money in different fields. Then i added the following text information: Choose between clear access bankingsm and everyday checking. How to make a card. A student's id card makes it possible for these institutions to secure their entrance, or their access to specific rooms or buildings. If the id cardholder is a student, then it contains the name of the student, a photo, address, phone number, student id, and their signature. Following are given student id card templates designed by our professionals. ...
Komentar
Posting Komentar