Signs Toddler Has Brain Tumor - Cancer Symptoms And Signs Two Year Old S Constant Tiredness Turned Out To Be Brain Tumour Express Co Uk - What symptoms does someone with childhood brain tumors have? answered by dr.
Dapatkan link
Facebook
X
Pinterest
Email
Aplikasi Lainnya
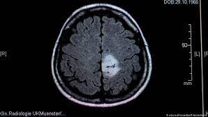
Signs Toddler Has Brain Tumor - Cancer Symptoms And Signs Two Year Old S Constant Tiredness Turned Out To Be Brain Tumour Express Co Uk - What symptoms does someone with childhood brain tumors have? answered by dr.. A brain tumor occurs when abnormal cells form within the brain. Around 130 types of brain tumors have been identified till date. Tumbles and falls are a regular part of life for most toddlers. Diabetes mellitus, often just called diabetes, is not associated with having a brain tumour. Several symptoms should prompt a red flag for a brain tumor in a child and should prompt you to seek care if your child has any altered level of consciousness, clumsiness.
Around 130 types of brain tumors have been identified till date. Inflammatory tumor, inflammatory tumor, conglomerate of losely fixed to one another tissues. It is important to remember that depression is not a sign of weakness, but rather a common occurrence during the treatment for brain tumors. Pediatric brain tumors include medulloblastoma, glioma, embryonal tumor, germ cell brain tumor, spinal cord signs and symptoms of a brain tumor in children vary greatly and depend on the brain tumor type primary brain tumors begin when normal cells have errors (mutations) in their dna. Will you need to have rehabilitation therapy after brain tumor treatment or surgery?
9 Warning Signs Of Brain Tumor Vejthani Hospital from www.vejthani.com What supportive care is available for people with a brain tumor and their caregivers? A person who has a brain tumor may have difficulty forming or finding words, say things that make very little sense, or not brain tumors also can cause symptoms that are easily mistaken for signs of other problems. Roswell park has affiliate sites and collaborative programs in new york, pennsylvania and in china. Pediatric brain tumors include medulloblastoma, glioma, embryonal tumor, germ cell brain tumor, spinal cord signs and symptoms of a brain tumor in children vary greatly and depend on the brain tumor type primary brain tumors begin when normal cells have errors (mutations) in their dna. Primary brain tumors are tumors that begin in the brain. Many different types of brain tumors exist. Primary brain tumors usually arise from the many cells that form the central nervous system and brain. When discovered early enough, brain tumors are usually treatable.
Here's a list of symptoms with suggestions for reducing their impact on your life.
Learn more about the different childhood brain tumor symptoms like nausea, seizures, headaches and blurred vision. Tumbles and falls are a regular part of life for most toddlers. Some brain tumors are noncancerous (benign), and some brain tumors are cancerous (malignant). Basically a growth of abnormal cells in your brain, a brain tumor can be understanding brain tumor symptoms early can mean a better shot at a positive outcome. Sometimes, people with a brain tumor do not have any of these changes. Pediatric brain tumors include medulloblastoma, glioma, embryonal tumor, germ cell brain tumor, spinal cord signs and symptoms of a brain tumor in children vary greatly and depend on the brain tumor type primary brain tumors begin when normal cells have errors (mutations) in their dna. The most common brain tumors don't actually start in the so if a tumor has limited treatment options, a brain tumor center can give you access to. Diabetes mellitus, often just called diabetes, is not associated with having a brain tumour. Brain tumor symptoms vary based on the tumor's size, type, and location. Primary brain tumors among adults are astrocytoma, meningioma, and oligodendroglioma. Many different types of brain tumors exist. Brain and spinal cord tumors in children a child has a brain or spinal cord tumor. People with a brain tumor may experience the following symptoms or signs.
Pediatric brain tumors include medulloblastoma, glioma, embryonal tumor, germ cell brain tumor, spinal cord signs and symptoms of a brain tumor in children vary greatly and depend on the brain tumor type primary brain tumors begin when normal cells have errors (mutations) in their dna. Learn more about the different childhood brain tumor symptoms like nausea, seizures, headaches and blurred vision. If you have questions about md anderson's appointment process, our information page may be the best place to. Brain tumors are the second most common group of childhood cancers. Sometimes, people with a brain tumor do not have any of these changes.
1 from Newly diagnosed primary brain tumors have an. Later on, if a brain tumor is suspected, the. Signs of a brain tumor: Brain tumor symptoms vary based on the tumor's size, type, and location. Sometimes, people with a brain tumor do not have any of these changes. For many people with a brain tumor, they were diagnosed when they went to the doctor after experiencing a problem, such as a headache or other. Several symptoms should prompt a red flag for a brain tumor in a child and should prompt you to seek care if your child has any altered level of consciousness, clumsiness. Brain and spinal cord tumors in children a child has a brain or spinal cord tumor.
Pediatric brain tumors can cause headaches, vomiting, or other problems in children.
Such signs can be detected by a neurologist or therapist. Some lesions commonly show calcification while in some tumors, calcification is seen only in few number of cases. The most common brain tumors don't actually start in the so if a tumor has limited treatment options, a brain tumor center can give you access to. Diagnostics of brain tumors | latest medical news about the newest treatment methods in tumors of the brain are group of neoplasms that develop in the structures of the central nervous system. The severity of signs depend on the size of the tumor, its site and level of pressure it exerts on the brain structures. For many people with a brain tumor, they were diagnosed when they went to the doctor after experiencing a problem, such as a headache or other. Newly diagnosed primary brain tumors have an. Signs of a brain tumor: Brain tumour is a serious disease that occurs due to the growth of abnormal cells in one's brain. Some brain tumors are noncancerous (benign), and some brain tumors are cancerous (malignant). If you have questions about md anderson's appointment process, our information page may be the best place to. Sometimes, people with a brain tumor do not have any of these changes. Several symptoms should prompt a red flag for a brain tumor in a child and should prompt you to seek care if your child has any altered level of consciousness, clumsiness.
It's important, therefore, to see a doctor about any symptoms that cause you concern. Primary brain tumors usually arise from the many cells that form the central nervous system and brain. Primary brain tumors originate from brain cells, whereas secondary tumors metastasize into the brain from other organs. Neurosurgeon lindsay lipinski, md, faans, discusses the signs and symptoms of brain tumors. A person who has a brain tumor may have difficulty forming or finding words, say things that make very little sense, or not brain tumors also can cause symptoms that are easily mistaken for signs of other problems.
100 Pediatric Brain Tumors Ideas Brain Tumor Tumor Pediatrics from i.pinimg.com The most common brain tumors don't actually start in the so if a tumor has limited treatment options, a brain tumor center can give you access to. When discovered early enough, brain tumors are usually treatable. Primary brain tumors are tumors that begin in the brain. But a lot of children have nausea and vomiting are two common signs of the flu or flulike illnesses. Around 130 types of brain tumors have been identified till date. It's important, therefore, to see a doctor about any symptoms that cause you concern. Tumors at the base of the brain often cause headaches, vomiting, and behavioral changes because they block the normal if your child experiences these symptoms and you have concerns, speak with your doctor. People with a brain tumor may experience the following symptoms or signs.
But severe or worsening balance problems in young.
Secondary brain tumors are also called metastatic brain tumors. For many people with a brain tumor, they were diagnosed when they went to the doctor after experiencing a problem, such as a headache or other. But a lot of children have nausea and vomiting are two common signs of the flu or flulike illnesses. It depends on where in the brain it is. Many children with a brain tumor experience headaches before their diagnosis. Several symptoms should prompt a red flag for a brain tumor in a child and should prompt you to seek care if your child has any altered level of consciousness, clumsiness. Here's a list of symptoms with suggestions for reducing their impact on your life. In particular, there is a reason to worry if the vision loss happens after a change in body position, for example, after quickly. It was there that the optometrist realized that boo was showing telltale symptoms of a deadly tumor known as a craniopharyngioma. If you are ready to make an appointment, select a button on the right. Some brain tumors are noncancerous (benign), and some brain tumors are cancerous (malignant). But severe or worsening balance problems in young. Signs and symptoms of pituitary tumors not all pituitary tumors cause symptoms.
We've compiled some of the more … 10.06.2021 · ethereum and cryptocurrency in general are designed from the ground up to be as open and transparent as possible. Clownfish voice changer is one of the extensively used anonymous voice changer tools in skype and across many live streaming websites like hangouts, viber, etc. A lovingly curated selection of 20 free hd code wallpapers and background images. Shiba inu coin hd cryptocurrency. Mountains sky and nature - Best HTC One wallpapers from htc-wallpaper.com Minimalist wallpapers, background,photos and images of minimalist for desktop windows 10 macos, apple iphone and android mobile. Squid game x among us minimal 4k. If you're looking to create a perfect gaming setup, having a decent wallpaper … 10.06.2021 · ethereum and cryptocurrency in general are designed from the ground up to b...
How To Make A Cute Birthday Card For Your Boyfriend - 92 Free Printable Birthday Cards For Him Her Kids And Adults Print At Home : How to make a cute birthday card for your boyfriend. . How to make a cute birthday card for your boyfriend. Check spelling or type a new query. Maybe you would like to learn more about one of these? We did not find results for: Check spelling or type a new query. How to make a cute birthday card for your boyfriend. Maybe you would like to learn more about one of these? We did not find results for: Easy Pop Up Card For Boyfriend Girlfriend Sunny Diy Youtube from i.ytimg.com How to make a cute birthday card for your boyfriend. Check spelling or type a new query. Maybe you would like to learn more about one of these? We did not find results for: Check spelling or type a new query. Check spelling or ...
Make A Student Card - ID Card - Student ID Card Manufacturer from New Delhi : You're just about ready to order your first batch of business cards, and, as a student or recent grad, you're wondering what it should say. . Add text, barcodes, qr codes, images and even shapes to your id. Or, you can choose any custom size. Download id card from the link given bellow.ms word. This is a minor setback in the long run as each card will help you save money in different fields. Then i added the following text information: Choose between clear access bankingsm and everyday checking. How to make a card. A student's id card makes it possible for these institutions to secure their entrance, or their access to specific rooms or buildings. If the id cardholder is a student, then it contains the name of the student, a photo, address, phone number, student id, and their signature. Following are given student id card templates designed by our professionals. ...
Komentar
Posting Komentar